Здоровье

Новые медицинские объекты в Сургуте: станция скорой помощи и переливания крови

Новые медицинские объекты в Сургуте: станция скорой помощи и переливания крови

Строительство двух ключевых медицинских учреждений продолжается с высокой интенсивностью.

Тайны древнего города: археологические находки, которые потрясли мир

Тайны древнего города: археологические находки, которые потрясли мир

Ученые делают неожиданные открытия в одном из самых загадочных мест на Земле.

Акция против алкоголизма в Ханты-Мансийском округе

Акция против алкоголизма в Ханты-Мансийском округе

Медицинские учреждения проводят мероприятия в поддержку трезвого образа жизни.

Бесплатная прививка от гриппа в городе

Бесплатная прививка от гриппа в городе

Городские власти объявили о начале кампании вакцинации.

Открытие новой больницы в Нижневартовске: значимый шаг для здравоохранения региона

Открытие новой больницы в Нижневартовске: значимый шаг для здравоохранения региона

Новая окружная клиническая больница станет ключевым объектом медицинской помощи для жителей Югры и соседних регионов.

Снижение случаев педикулеза в Югре

Снижение случаев педикулеза в Югре

Роспотребнадзор сообщает о положительной динамике заболеваемости.

Что не стоит кушать на завтрак для хорошего самочувствия

Что не стоит кушать на завтрак для хорошего самочувствия

Правильный выбор продуктов для завтрака может улучшить ваше здоровье.

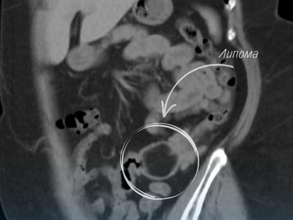
Успешное эндоскопическое удаление липомы у пациента в Нижневартовске

Успешное эндоскопическое удаление липомы у пациента в Нижневартовске

Врачи провели сложную операцию с сохранением целого кишечника.

Спасение жизней: новая история о помощи

Спасение жизней: новая история о помощи

Как медицинские службы продолжают делать невозможное.

Новые горизонты науки в Москве

Новые горизонты науки в Москве

Исследования и инновации меняют облик столицы.