Успешное эндоскопическое удаление липомы у пациента в Нижневартовске

Врачи провели сложную операцию с сохранением целого кишечника.

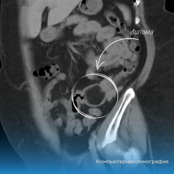
В Нижневартовскую окружную клиническую больницу поступила женщина с жалобами на боли в животе и нарушением стула. Исследования выявили у неё крупное подслизистое образование диаметром свыше 5 см, которое оказалось липомой.

Липома — это доброкачественное образование, которое развивается в подслизистом слое. Но, в случае пациентки, она смещалась вниз, что вызывало болевые ощущения.

Ситуация была сложной, так как врачи не имели опыта удаления таких крупных подслизистых образований эндоскопическим путём. Им предстояло решить: проводить открытую операцию с удалением части кишечника или попробовать удалить липому эндоскопически.

Эндоскопическое удаление липомы таких размеров технически сложное и сопряжено с риском перфорации кишечника, а также жизнеугрожающим кровотечением. Совместно с лечащим врачом и пациенткой мы приняли решение оперировать эндоскопически, так как возможность сохранения целого кишечника перевешивала вариант удаления его части, – комментирует врач-эндоскопист Иван Головин.

Липома была большой и не проходила через сфинктеры толстой кишки. Специалистам пришлось разделить на фрагменты её внутри кишечника и извлекать по частям. Операция продолжалась два часа и завершилась успешно.

Теперь женщине предстоит периодически проходить контрольные колоноскопии для мониторинга состояния.

Заведующий эндоскопическим отделением Михаил Рыжиков напоминает, что своевременное выявление и удаление образований на ранних стадиях значительно облегчает лечение и предотвращает возможные осложнения.

Последние новости

Как выбрать тип пандуса для жилого дома: металлический, алюминиевый, откидной или стационарный

Большой сравнительный гид по выбору идеального пандуса для создания по-настоящему доступной входной группы

Где ремонтировать частотный преобразователь: сервис, завод или локальный мастер?

Разбор преимуществ и недостатков различных вариантов восстановления оборудования

Как выбрать идеальный кабинет руководителя: гармония стиля, комфорта и престижа

Разбираемся, как выбрать мебель, стиль и планировку, чтобы кабинет вдохновлял, внушал доверие и подчеркивал авторитет.

Когда скидки превращаются в ловушку: как маркетологи учат нас тратить

Почему “-50% только сегодня” не всегда значит выгоду, как скидки играют на эмоциях и почему даже рациональные люди становятся жертвами маркетинговых трюков.

На этом сайте представлены актуальные варианты, чтобы снять квартиру в Магадане на выгодных условиях

Комментарии (0)

Добавить комментарий

Ваш email не публикуется. Обязательные поля отмечены *